Dental professionals go to: ultradent.com
Opalescence Boost

In Office Teeth Whitening with Instant Results

Opalescence Boost professional teeth whitening is applied by your dentist right in the dental office to give you a white smile fast! No hot or uncomfortable LED teeth whitening lights are necessary because it is chemically activated. With just two or three 20-minute treatments its powerful 40% hydrogen peroxide formula provides noticeable results in as little as one hour.1

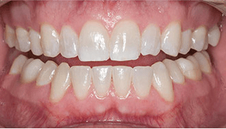
  • Before Opalescence tooth whitening system
  • After Opalescence tooth whitening system
Before
After

Move the slider to the right to see the before shot, and then to the left to see the brilliant results Opalescence Boost teeth whitening provides!

Opalescence Boost
Teeth Whitening Features:

Opalescence Products
  • Expert application at the dentist’s office by a trained dental professional
  • Chemically activated whitening, which means no hot, uncomfortable LED teeth whitening lights are needed
  • Teeth whitening gel contains potassium nitrate and fluoride for patient comfort
  • It can brighten smiles in as little as one hour1
  • A bright white smile as soon as you leave the dentist office
  • Vegan—no animal products used
  • Certified gluten free
Gluten Free

What to Expect with Opalescence
Boost Teeth Whitening

How to use Opalescence Boost video
Opalescence Boost Model

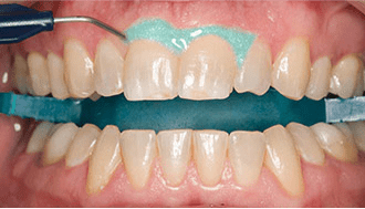
Opalescence Boost Teeth Whitening Step-By-Step Guide

1
Opalescence Boost Step-1

1. An initial shade will be taken of your teeth.

2
Opalescence Boost Step-2

2. A protective barrier will be used to prevent the teeth whitening gel from irritating your gums.

3
Opalescence Boost Step-3

3. Your dentist will apply Opalescence Boost teeth whitening gel with a gentle, brushed tip.

4
Opalescence Boost Step-4

4. You'll see results in about an hour!

Consult with a dental professional for more information.

Other Whitening Options

  1. Polydorou O, Wirsching M, Wokewitz M, Hahn P. Three-month evaluation of vital tooth bleaching using light units-a randomized clinical study. Oper Dent. 2013;38(1):21–32. doi:10.2341/12-041-C